Skoliose
Skoliose ist eine dreidimensionale Fehlstellung der Wirbelsäule. Die dreidimensionale Skoliosebehandlung wurde von Katharina Schroth entwickelt und von ihrer Tochter Christa Lehnert-Schroth sowie ihrem Enkel, Herrn Dr. Weiß weiter entwickelt. Herr Dr. Weiß prägte die moderne konservative Skoliosebehandlung mittels "Schroth Best Practice®", einem Programm, welches Alltagsaktivitäten mit in das Übungsprogramm einbindet und innerhalb relativ kurzer Zeit erlernt werden kann. Darüber hinaus entwickelte er mit dem "Gensingen Brace" ein Korsett, welches gipsfrei gefertigt wird. Es zeichnet sich durch CAD (Nutzung von Datenbanken zur Korsettversorgung), Leichtbauweise und dreidimensionale Korrektur (insbesondere auch des Seitenprofils) aus.
Skoliose ist insgesamt eine eher seltene Erkrankung (Krümmungen von über 20° findet man lediglich bei 0,3-0,5 % der Bevölkerung). Daher gehört die Behandlung der Skoliose in die Hände von Experten. Wir bieten ihnen am Standort Zell eine hochqualitative und umfassende Versorgung an.
1. Orthopädie und Osteopathie
Herr Dr. Esser ist sowohl Facharzt für Orthopädie als auch ärztlicher Osteopath. Er verfügt einerseits über Erfahrung in der konservativen Therapie der Skoliose. Andererseits gilt sein besonderes Interesse dem sog. de-tethering. Hierunter versteht man Techniken zur Neuromobilisation für die Behandlung von Wirbelsäulendeformitäten. Hierbei wird die Mobilität und Funktion von Nervenstrukturen (Rückenmark mit Nervenwasser, Rückenmarkshäute und Spinalnerven) verbessert. Hierfür eignen sich auf dem Gebiet der Osteopathie insbesondere BMT (balanced ligamentous tension) und biodynamische Osteopathie.
2. Netzwerk
Unser Skoliose-Netzwerk bietet eine kompetente und abgestimmte Diagnostik sowie Therapie. Es steht für alle offen, die sich im medizinischen Bereich schwerpunktmäßig mit Skoliose beschäftigen. Auf dem Barl (Stadtteil von Zell) haben sich folgende Mitglieder des Netzwerks angesiedelt:
Darüber hinaus befindet sich in Zell-Barl eine radiologische Praxis (MVZ Mittelmosel). Hier ist eine ehemalige Mitarbeiterin von Herrn Dr. Weiß (vertraut mit der besonderen Röntgeneinstelltechnik zur Verminderung der Strahlenexposition bei Wirbelsäulenganzaufnahmen) tätig.
Herr Dr. Esser, Herr Dr. Weiß, Herr Lay (von links nach rechts)
3. Korsett / GBWgipsfrei / digital / konstante Qualität
Das unsererseits eingesetzte GBW (Gensingen Brace nach Weiß) wird mittels CAD gefertigt. Hierzu sind Daten einer Oberflächenvermessung des Rumpfes erforderlich, welche ohne Einsatz von Röntgenstrahlung erfolgt. Ferner ist kein Gipsabdruck (Einwickeln des Oberkörpers in Gipsbinden) mehr erforderlich. Dies macht die Anfertigung nicht nur angenehmer (kein Gipskontakt der Haut) sondern auch exakter. Die erhobenen digitalen Daten werden anonym mit Datenbanken abgeglichen. Auf dieser Basis werden die erforderlichen Korrekturen im Korsett zunächst digital erfasst und festgelegt. Mithilfe spezieller Software kann die bestmögliche dreidimensionale Korrektur der Wirbelsäulendeformität ermittelt werden. Hierdurch wird eine gleichbleibend hohe Qualität in der Korsettversorgung erzielt. Darüber hinaus zeichnet sich das Korsett durch seine Leichtbauweise aus.
Die Wirksamkeit des GBW in der Behandlung der idiopathischen Skoliose ist wissenschaftlich belegt. Die Endergebnisse für das GBW sind signifikant besser als die Ergebnisse für das Boston-Korsett. Angesichts der fehlenden wissenschaftlichen Evidenz für Wirbelsäulenversteifungen bei idiopathischer Skoliose, stellt das GBW eine Alternative auch für Diejenigen dar, die eine Operation vermeiden wollen ("GBW offers a real advantage for those patients with curves beyond the historical surgical threshold, who wish to avoid surgery."). Durch die Zusammenarbeit von erfahrenen Orthopäden und Orthopädietechnikern lassen sich mit dem GBW Erfolgsquoten von über 90 % erzielen. (First end-result of a prospective cohort with AIS treated with a CAD Chêneau style brace, Weiss et al., J Phys Ther Sci. 2019 Dec; 31(12): 983-991.
link).
Aufgrund der digitalen Messungen und des CAD kann das GBW sehr schnell gefertigt werden und bereits 2 Tage nach der Messung anprobiert werden.
Inwiefern überhaupt eine Korsettversorgung erforderlich ist, kann erst nach vollständiger Untersuchung eingeschätzt werden. Hierbei spielen eine ganze Reihe von Faktoren eine Rolle: Alter, Ursache der Skoliose (idiopathisch?), zu erwartendes Restwachstum, Krümmungsmuster der Wirbelsäule, Abweichung der Wirbelsäule in allen drei räumlichen Ebenen (nicht nur der auf dem Röntgenbild ermittelte Cobb-Winkel).
lichtoptische Wirbelsäulenvermessung mit dem ABW-Mapper
Auch die Frage wie lange eine Korsettversorgung erforderlich wird, lässt sich im Vorhinein nicht eindeutig beantworten. Hierbei spielen die o.g. Faktoren eine Rolle. Zusätzlich sind individuelle Faktoren (wie Mobilität der Wirbelsäule) als auch Korsett-bezogene Faktoren von Bedeutung. Hierzu zählen die Qualität der Korsettanpassung (das Korsett muss in allen 3 Ebenen zum Krümmungsmuster passen), die Passgenauigkeit und auch die Tragedauer (im Hauptwachstumsschub werden 23 Stunden täglich angestrebt).
Die weitverbreitete Auffassung, dass ein Korsett einschnürt trifft für das GBW NICHT zu. Eine Korrektur ist nur möglich, wenn sog. Freiräume (Ausweichmöglichkeiten) in das Korsett eingearbeitet werden. Es bedarf allerdings bestimmter Pelotten ("Druckpolster) um die Wirbelsäule in Richtung der Freiräume einzustellen.
Es wird ausdrücklich darauf hingewiesen, dass keinerlei Heilversprechen oder Erfolgsgarantie abgegeben werden kann. Der Erfolg hängt von sehr vielen Faktoren ab, die vorstehend bereits zum Teil aufgeführt wurden.
Auswertung der lichtoptischen Wirbelsäulenvermessung mit dem ABW-Mapper
BITTE BEACHTEN
Terminvereinbarung
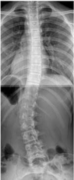
Unsere Skoliose-Sprechstunde findet dienstagsnachmittags statt. Auf Wunsch vergeben wir auch Termine an anderen Tagen und zu anderen Zeiten. Hierzu benötigen wir aber vorab die Information, ob eine Röntgenaufnahme (Wirbelsäulenganzaufnahme) erstellt werden muss bzw. mitgebracht wird (siehe unten "Röntgenaufnahmen").
Unsere Fortbildungs- und Urlaubszeiten finden Sie unter "Termine".
Termine für unsere Skoliose-Sprechstunde bitten wir ausschließlich telefonisch (und nicht Online) zu vereinbaren.
Einen Sprechstundentermin können Sie gerne telefonisch unter den folgenden Rufnummern vereinbaren:
| Zell: | 06542 96 98 42 |
| Wittlich: | 06571 95 24 549 |
Die Telefonnummer werden weitergeleitet, so dass Sie uns auch erreichen, wenn wir am jeweils anderen Praxisstandort sind. Telefonisch sind wir i.d.R. Mo.-Fr. von 8-12 Uhr sowie Mo. und Do. von 14-18 Uhr zu erreichen.
Korsettversorgung
bei sehr langer AnreiseWenn einerseits eine Korsettversorgung angezeigt und andererseits die Anreise zu uns sehr lang ist, bieten wir Ihnen einen mehrtägigen Aufenthalt mit Korsettanprobe und Kontrolle an. Hierzu bietet sich ein Termin montagsmorgens in unserer Praxis in Wittlich - welche sich im Hotel Lindenhof befindet - an. Die komplette Vermessung erfolgt vor Ort im Hotel. Die Korsettanprobe findet mittwochs statt, wobei das Korsett dann sofort über Nacht bis donnerstags getragen werden soll. Donnerstags erfolgt wiederum in Wittlich eine erneute Korsettkontrolle und die Anfertigung einer Röntgenaufnahme im Korsett.
Vorbefunde
Sollten Sie über Unterlagen zur bisherigen Behandlung (z.B. bei Herrn Dr. Weiß) verfügen, so bitten wir Sie, uns diese vorab zuzusenden.
Röntgenaufnahmen
Sollten Röntgenaufnahmen zur Verlaufskontrolle erforderlich sein, so können Sie diese gerne vorab am Heimatort erstellen lassen. Röntgenaufnahmen werden vor Ort nicht durch unsere Praxis, sondern ausschließlich durch eine radiologische Praxis angefertigt. Die Terminabstimmung mit der radiologischen Praxis übernehmen wir auf Wunsch für Sie. Bitte beachten Sie die Öffnungszeiten der Radiologie (dienstags und mittwochs bis 16 Uhr und freitags bis 14 Uhr).
Buchempfehlung
Zur weiteren Information empfehlen wir die Bücher von Herrn Dr. Weiß: "Ich habe Skoliose" und "Schroth Best Practice".
Das Buch "Ich habe Skoliose" schildert auf ca. 120 Seiten alle wesentlichen Aspekte zu Diagnose, Therapie und Prognose. Ferner wartet das Buch durch zahlreiche "Patientengeschichten" (Erfahrungsberichte) auf. Das Buch ist als Ratgeber für Betroffene konzipiert und entsprechend gut verständlich geschrieben.
Das Buch "Schroth Best Practice" erläutert das entsprechende moderne Übungsprogramm. Darüber hinaus liefert das Buch auf ca. 260 Seiten mehr Details (wie z.B. die genaue Klassifikation einer Skoliose nach Lehnert-Schroth oder Geschichte der Skoliosetherapie).
 | Ich habe Skoliose ISBN-10: 3790510513 ISBN-13: 978-3790510515 |
 | Schroth Best Practice ISBN-10: 3790510602 ISBN-13: 978-3790510607 |